З роками технологія медичної візуалізації вдосконалювалася, і лікарі стали краще виявляти і діагностувати захворювання, що впливають на організм. Однією з таких технологій є комп'ютерна томографія (КТ), яка особливо корисна для виявлення захворювань і станів, що вражають стравохід. У цій статті ми розглянемо, як працює КТ, як вона може допомогти виявити захворювання стравоходу та чого очікувати пацієнтам при проходженні цього виду медичного обстеження.
I. Вступ
Захворювання стравоходу можуть проявлятися у різних формах, починаючи від гастроезофагеальної рефлюксної хвороби (ГЕРХ) і закінчуючи раком стравоходу. Часто ці захворювання важко діагностувати, оскільки їхні симптоми можуть бути схожими на симптоми інших захворювань. Наприклад, пацієнти з ГЕРХ можуть відчувати печію та утруднене ковтання, які також можуть бути симптомами інших захворювань, таких як грижа стравохідного отвору діафрагми або виразкова хвороба.
II. Що таке комп'ютерна томографія?
КТ – це неінвазивний медичний тест на візуалізацію, який використовує рентгенівські промені для отримання детальних зображень внутрішньої частини тіла. Під час дослідження пацієнт лежить на столі, який засовується у великий апарат у формі пончика. Апарат робить кілька рентгенівських знімків тіла під різними кутами, які потім об'єднуються комп'ютером для створення детальних зображень поперечного перерізу досліджуваної ділянки.
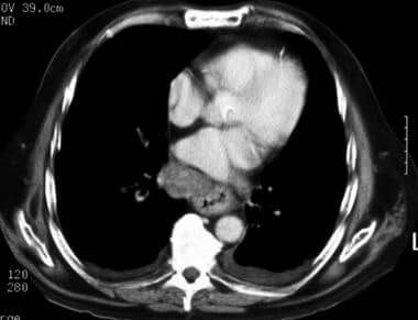
III. Як КТ допомагає виявити захворювання стравоходу?
КТ може допомогти виявити захворювання стравоходу кількома способами. По-перше, КТ може виявити аномалії в стравоході, такі як пухлини, стриктури (звуження) або запалення. Зображення, отримані за допомогою КТ, можуть також показати, чи поширилася пухлина на сусідні лімфатичні вузли або органи, що може допомогти лікарям визначити стадію раку. Крім того, КТ може виявити інші захворювання, які можуть бути причиною симптомів пацієнта, такі як грижа стравохідного отвору діафрагми або виразка.

IV. Підготовка до КТ-сканування
Перед проведенням КТ пацієнта попросять зняти будь-які металеві предмети, такі як ювелірні прикраси або окуляри, які можуть заважати процесу візуалізації. Пацієнта також можуть попросити переодягнутися в лікарняний халат. У деяких випадках пацієнтам можуть вводити контрастну речовину – барвник, який вводять у вену, щоб зробити певні тканини або кровоносні судини більш помітними на КТ-зображеннях.
V. Чого очікувати під час КТ-сканування
Під час КТ пацієнт буде лежати на столі, який засовується в апарат. Під час отримання зображень апарат може видавати дзижчання або клацання. Пацієнти повинні залишатися нерухомими під час сканування, яке зазвичай триває близько 30 хвилин. Спеціаліст, який проводить обстеження, весь час бачить і чує пацієнта і може зупинити сканування в будь-який момент, якщо пацієнт відчуває дискомфорт або потребує допомоги.
VI. Ризики та ускладнення КТ
Хоча КТ, як правило, вважається безпечною, існують деякі ризики, пов'язані з цим дослідженням. Випромінювання, яке використовується під час обстеження, може з часом збільшити ризик розвитку раку, хоча загалом цей ризик невеликий. У пацієнтів, які отримують контрастну речовину, можуть виникнути алергічні реакції, такі як кропив'янка або утруднене дихання. Однак ці реакції трапляються рідко.
VII. Висновок
На закінчення, КТ є цінним інструментом для виявлення захворювань стравоходу. Створюючи детальні зображення внутрішньої частини тіла, вона може допомогти лікарям виявити аномалії в стравоході та навколишніх тканинах. Пацієнти, які проходять КТ, повинні знати про підготовку, необхідну для проведення дослідження, а також про потенційні ризики та ускладнення, пов'язані з ним. Тісно співпрацюючи зі своєю медичною командою, пацієнти можуть гарантувати, що вони отримають найточніший діагноз і відповідне лікування для свого стану.
VIII. Поширені запитання
-
Скільки часу триває КТ? КТ зазвичай триває близько 30 хвилин, хоча фактичний час може змінюватися в залежності від ділянки тіла, що підлягає скануванню.
-
Чи буду я відчувати біль під час КТ? Ні, КТ – це безболісна процедура. Однак, деякі пацієнти можуть відчувати дискомфорт, лежачи нерухомо протягом тривалого періоду.
-
Чи можна їсти або пити перед КТ? У деяких випадках пацієнтів можуть попросити не їсти і не пити протягом декількох годин перед дослідженням. Пацієнти повинні дотримуватися інструкцій лікаря щодо будь-яких дієтичних обмежень.
-
Чи може КТ виявити рак стравоходу? Так, КТ може допомогти виявити рак стравоходу, визначивши аномалії в стравоході та навколишніх тканинах.
-
Чи існують альтернативи КТ для виявлення захворювань стравоходу? Для діагностики захворювань стравоходу можуть бути використані інші методи візуалізації, такі як МРТ або ендоскопія. Однак, КТ часто є найкращим методом через його здатність створювати детальні зображення швидко і неінвазивно.

