З розвитком технологій у лікарів з’явився цілий арсенал інструментів для діагностики та лікування захворювань. Одним з таких інструментів є комп’ютерна томографія (КТ), яка використовується для візуалізації внутрішніх органів і тканин організму. КТ-сканування стало важливим інструментом для моніторингу ефективності лікування захворювань. У цій статті ми розглянемо роль КТ в оцінці ефективності лікування захворювань.
Що таке комп’ютерна томографія?
КТ – це неінвазивна діагностична процедура візуалізації, яка використовує рентгенівські промені та комп’ютерні технології для отримання детальних зображень внутрішніх структур організму. Його використовують для діагностики широкого спектру захворювань, включаючи рак, хвороби серця та неврологічні розлади. КТ може створювати зображення поперечного перерізу тіла, що дозволяє медичним працівникам візуалізувати внутрішні органи і тканини.
Як працює комп’ютерна томографія?
Під час КТ пацієнт лежить на столі, який рухається через машину у формі пончика. Рентгенівські промені випромінюються з обертового порталу, а детектори вимірюють рентгенівське випромінювання, яке проходить через тіло. Дані, зібрані детекторами, потім обробляються комп’ютером для отримання детальних зображень внутрішніх структур організму.
Роль КТ в оцінці ефективності лікування захворювань
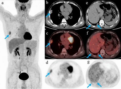
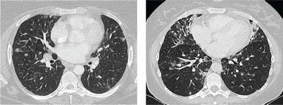
КТ стали важливим інструментом моніторингу ефективності лікування захворювань. КТ може допомогти медичним працівникам визначити, чи працює лікування, візуалізуючи зміни у внутрішніх структурах організму. Наприклад, якщо пацієнт проходить хіміотерапію для лікування раку, КТ можна використовувати для моніторингу розміру пухлини. Якщо пухлина зменшується, це означає, що лікування працює.
Коли КТ використовується для оцінки лікування захворювань?
КТ-сканування використовують для оцінки лікування захворювань у різних медичних станах. Деякі з найпоширеніших захворювань, при яких використовується КТ, включають рак, серцево-судинні захворювання та неврологічні розлади. КТ може допомогти медичним працівникам визначити ефективність хіміотерапії або променевої терапії для лікування раку. Вони також можуть використовуватися для моніторингу прогресування серцево-судинних захворювань або ефективності лікування неврологічних розладів.
Переваги КТ в оцінці лікування захворювань
КТ має ряд переваг над іншими методами візуалізації в оцінці ефективності лікування захворювань. КТ є неінвазивним методом і дозволяє отримати детальне зображення внутрішніх структур організму. Вони також відносно швидкі і можуть бути виконані в амбулаторних умовах. КТ також відносно безпечна і не піддає пацієнтів високому рівню опромінення.
Обмеження КТ в оцінці лікування захворювання
Хоча КТ має багато переваг, вона також має деякі обмеження. КТ піддає пацієнтів впливу іонізуючого випромінювання, що може збільшити ризик розвитку раку. Тому їх слід використовувати лише за необхідності, а користь від них має переважати над ризиками. КТ також відносно дорогі, і не всі медичні заклади мають доступ до обладнання.
Висновок
Таким чином, КТ стала важливим інструментом для моніторингу ефективності лікування захворювань. КТ є неінвазивною, відносно швидкою та надає детальні зображення внутрішніх структур організму. Вони використовуються для оцінки лікування різних захворювань, включаючи рак, серцево-судинні захворювання та неврологічні розлади. Хоча КТ-сканування має певні обмеження, його переваги в більшості випадків переважають ризики.
Поширені запитання
- Чи КТ – це те саме, що й МРТ??
- Ні, КТ та МРТ використовують різні технології для отримання зображень внутрішніх структур організму. МРТ використовує магнітні поля та радіохвилі, а КТ – рентгенівські промені.
- Як часто потрібно робити КТ для оцінки лікування захворювання??
- Частота проведення КТ для оцінки лікування захворювання залежить від стану здоров’я пацієнта та застосовуваного лікування.
- Чи існують ризики, пов’язані з КТ?
- Так, КТ піддає пацієнтів іонізуючому випромінюванню, що може збільшити ризик розвитку раку. Однак переваги КТ-сканування зазвичай переважають ризики в більшості випадків.
- Чи можна за допомогою КТ діагностувати захворювання?
- Так, КТ можна використовувати для діагностики широкого спектру захворювань. Однак найчастіше вони використовуються для моніторингу ефективності лікування захворювань.
- Чи існують альтернативні КТ методи візуалізації для оцінки лікування захворювання?
- Так, існує кілька альтернативних методів візуалізації, включаючи магнітно-резонансну томографію (МРТ) та позитронно-емісійну томографію (ПЕТ). Однак кожна методика візуалізації має свої переваги та обмеження, і вибір методу візуалізації залежить від захворювання, яке лікується, та методу лікування, який використовується.
Загалом, КТ зробила революцію в тому, як медичні працівники оцінюють ефективність лікування захворювань. Вони надають детальне зображення внутрішніх структур організму і є відносно безпечними та неінвазивними. Хоча вони мають певні обмеження, їхні переваги, як правило, переважають ризики в більшості випадків. Використовуючи КТ у поєднанні з іншими діагностичними інструментами, медичні працівники можуть приймати обґрунтовані рішення щодо лікування захворювань та покращувати результати лікування пацієнтів.



