Комп'ютерна томографія (КТ) – це метод діагностичної візуалізації, який відіграє життєво важливу роль у діагностиці, стадіюванні та моніторингу раку. КТ надає зображення поперечних зрізів тіла, які допомагають у виявленні та характеристиці пухлин, а також оцінці їх розміру, розташування та поширення. У цій статті ми розглянемо внесок комп'ютерної томографії в онкологію і те, як вона зробила революцію в діагностиці та лікуванні раку.
Огляд комп'ютерної томографії
КТ – це неінвазивний метод діагностики, який використовує рентгенівські промені та комп'ютерну обробку для створення зображень тіла. Процедура передбачає, що пацієнт лежить на столі, який засовується в машину у формі пончика. Рентгенівська трубка обертається навколо пацієнта, роблячи кілька знімків під різними кутами, які потім реконструюються комп'ютером у серію зображень поперечного перерізу. Отримані зображення надають детальну анатомічну інформацію про організм і можуть виявити такі патології, як пухлини, кісти або запалення.
Види КТ-зображень
Існує кілька видів КТ-зображень, зокрема:
- КТ з контрастним підсиленням: контрастна речовина вводиться в кровотік пацієнта, щоб виділити кровоносні судини та покращити видимість певних тканин.
- Віртуальна колоноскопія: Неінвазивна альтернатива традиційній колоноскопії, яка використовує КТ для обстеження товстої кишки на наявність поліпів або раку.
- Двоенергетична КТ: метод, який використовує дві різні енергії рентгенівського випромінювання, щоб розрізнити різні типи тканин і поліпшити якість зображення.
Роль КТ в онкології
КТ відіграє важливу роль у діагностиці та лікуванні раку. Застосовується на кількох етапах лікування раку, в тому числі:
Скринінг та діагностика
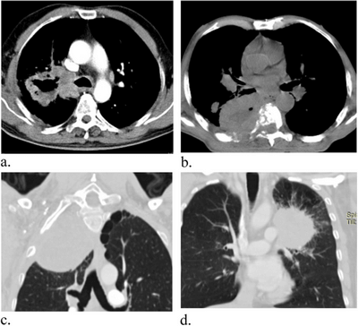
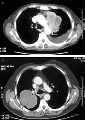
КТ часто використовується для виявлення раку на ранніх стадіях або для підтвердження підозри на діагноз. КТ може виявити наявність пухлин, їх розмір і розташування, а також те, чи поширилися вони на інші частини тіла. КТ особливо корисна для виявлення солідних пухлин, таких як рак легенів, печінки та підшлункової залози.
Постановка діагнозу
Після того, як рак діагностовано, КТ використовується для визначення масштабу захворювання та стадії раку. КТ може виявити, чи поширився рак на лімфатичні вузли або інші органи, що допомагає прийняти рішення про лікування.
Планування лікування
КТ використовується для планування та керівництва лікуванням раку. Наприклад, КТ можна використовувати для створення 3D-моделі пухлини та навколишніх тканин, що допомагає скеровувати променеву терапію. КТ також можна використовувати для моніторингу ефективності хіміотерапії та інших методів лікування.
Моніторинг та подальше спостереження
КТ використовується для моніторингу прогресу лікування раку та виявлення будь-яких рецидивів захворювання. Контрольні КТ-сканування часто проводяться через регулярні проміжки часу, щоб переконатися, що рак не повернувся.
Переваги КТ в онкології
Комп'ютерна томографія має ряд переваг у діагностиці та лікуванні раку, зокрема:
Неінвазивний
КТ – це неінвазивна методика, яка не потребує хірургічного втручання або інших інвазивних процедур. Це знижує ризик ускладнень і дискомфорту для пацієнта.
Швидко та ефективно
КТ-сканування є швидким та ефективним, більшість з них займає всього кілька хвилин. Це робить КТ ідеальним інструментом для скринінгу та діагностики.

Зображення з високою роздільною здатністю
КТ надає зображення з високою роздільною здатністю, що дозволяє детально візуалізувати внутрішні структури організму. Це полегшує виявлення та локалізацію пухлин та інших патологій.
Універсальний
КТ – це універсальна методика, яку можна використовувати для діагностики та моніторингу широкого спектру захворювань, включаючи рак.
Обмеження КТ в онкології
Незважаючи на свої численні переваги, комп'ютерна томографія має деякі обмеження в діагностиці та лікуванні раку, в тому числі:
Променеве навантаження
Комп'ютерна томографія використовує іонізуюче випромінювання, яке може збільшити ризик розвитку раку над
час. Хоча кількість радіації, що використовується при КТ-скануванні, в цілому вважається безпечною, повторне опромінення може викликати занепокоєння у деяких пацієнтів.
Хибнопозитивні та хибнонегативні результати
Як і будь-який діагностичний інструмент, КТ не є на 100% точним. Можуть виникати хибнопозитивні (виявлення відхилень, яких насправді немає) та хибнонегативні (відсутність відхилень, які є) результати, що може призвести до непотрібних процедур або затримки в лікуванні.
Реакції на контрастну речовину
У деяких пацієнтів може виникнути алергічна реакція на контрастну речовину, яка використовується при КТ, що може викликати такі симптоми, як кропив'янка, свербіж та утруднене дихання. У рідкісних випадках може виникнути серйозна реакція, яка називається анафілаксією.
Майбутнє КТ в онкології
Досягнення в технології КТ-візуалізації постійно підвищують її точність і корисність у діагностиці та лікуванні раку. Наприклад, розробляються нові контрастні речовини, які можуть зменшити ризик алергічних реакцій та покращити якість зображень. Крім того, дослідники вивчають можливості використання штучного інтелекту та машинного навчання для аналізу КТ-зображень і покращення діагностики та планування лікування.
Висновок
Отже, комп'ютерна томографія (КТ) є цінним інструментом у діагностиці та лікуванні раку. КТ-зображення надає детальну анатомічну інформацію, яка допомагає у виявленні та характеристиці пухлин, а також оцінці їх розміру, розташування та поширення. Незважаючи на свої обмеження, КТ має низку переваг над іншими діагностичними інструментами, зокрема неінвазивний характер, високу роздільну здатність зображень та універсальність. З розвитком технологій комп'ютерна томографія, ймовірно, відіграватиме ще більш важливу роль у боротьбі з онкологічними захворюваннями.
Поширені запитання
- Чи безпечна комп'ютерна томографія для онкохворих пацієнтів?
- Хоча комп'ютерна томографія використовує іонізуюче випромінювання, його кількість у більшості випадків вважається безпечною. Ваш лікар може обговорити з вами будь-які побоювання щодо променевого навантаження.
- Чи всі види раку можна виявити за допомогою КТ?
- Ні, КТ краще виявляє солідні пухлини, ніж інші види раку, такі як рак крові або кісток.
- Скільки часу триває комп'ютерна томографія?
- Більшість КТ займає лише кілька хвилин, хоча більш складні сканування можуть зайняти більше часу.
- Чи потрібна якась підготовка до КТ??
- Залежно від типу сканування, вас можуть попросити поголодувати кілька годин або випити контрастну речовину перед скануванням.
- Чи можна використовувати КТ-зображення для лікування раку?
- Так, КТ часто використовується для планування та керівництва лікуванням раку, включаючи променеву терапію та хіміотерапію.


